Cancer testiculaire

Contact

Infirmière Coordinatrice de soins en Oncologie
+ 32 2 764 35 44

Aperçu/Epidémiologie

Les testicules se trouvent dans le scrotum ; ils sont l’endroit de production de la testostérone (l’hormone masculine) et des spermatozoïdes. Moins de 500 cas de cancer de testicule sont diagnostiqués chaque année en Belgique ; il s’agit donc d’un cancer rare mais qui reste le plus fréquent du jeune adulte et il apparaît le plus souvent entre 20 et 40 ans.

La cryptochidie est le facteur de risque le plus important, il s’agit d’une descente tardive et incomplète d’un des deux testicules.

Il existe deux types de cancer du testicule, définis selon les examens anatomopathologiques : les cancers de type séminome et les cancers de type non séminome. Cette distinction est importante car elle dicte la conduite à tenir en terme de traitement, de surveillance et de pronostic.

Symptômes et diagnostic

Le symptôme le plus fréquent est un gonflement et/ou une douleur d’un des deux testicules. Tout gonflement testiculaire reste une urgence diagnostic et doit faire l’objet d’un examen.

Une échographie testiculaire est réalisée afin de mettre au point toute anomalie testiculaire. En cas de suspicion de cancer, une chirurgie sera réalisée (orchidectomie) afin de réséquer le testicule. L’examen anatomo-pathogique est important afin de distinguer une tumeur séminomateuse d’une tumeur non-séminomateuse. Une prise de sang évaluera également différentes protéines pouvant être produites par les cellules cancéreuses ; ces protéines ne sont pas toujours présentes dans le sang mais lorsqu’elles le sont, leur évolution (diminution au augmentation) nous permet de juger de la réponse au traitement.  

Traitement

Le taux de guérison du cancer du testicule est important mais nécessite toujours une prise en charge pluridisciplinaire. 

Un cancer du testicule nécessite en général une résection du testicule atteint (orchidectomie). Un bilan par imagerie doit toujours compléter ce geste.

  • En absence de ganglion ou de lésion suspecte à distance, la surveillance après l’orchidectomie est de rigueur, mais dans les cas à haut risque de récidive, une chimiothérapie peut parfois être proposée afin de diminuer ce risque de résurgence de la maladie.  
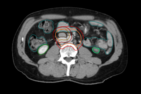
  • En cas de ganglions ou de métastases, une chimiothérapie sera proposée. Cette chimiothérapie consiste en l’administration de plusieurs molécules (B.E.P= Bléomycine, Etoposide, Platine), s’administrant de façon intraveineuse en hospitalisation. Une radiothérapie peut parfois être proposée en cas de ganglion unique.

Le choix de ces traitements seront discutés en concertation multidisciplinaire oncologique (CMO) où se réunissent les différents experts de notre centre. Ces traitements présentent tous des effets secondaires qui leur sont propres ; ceux-ci seront donc expliqués par le médecin intervenant.

Il est important de savoir que même un cancer du testicule avec présence de métastases a la possibilité d’être guéri grâce aux traitements proposés. Etant donné qu’il s’agit de traitement entreprenant les organes génitaux producteurs de spermatozoïdes, une cryopréservation de sperme est réalisée avant chimiothérapie ou radiothérapie.

Nous continuons, grâce à la recherche médicale, à affiner nos méthodes de diagnostic et de traitements. Nous évaluons dans notre institution différents types d’imagerie, notamment, la résonance magnétique nucléaire du corps entier qui permet, en plus de combiner plusieurs examens en même temps, de préciser la présence ou la localisation de lésions suspectes. En tant que centre d’expertise, nous poursuivons l’étude de ce cancer, en collaboration avec des centres mondialement reconnus, afin de pouvoir offrir aux patients la meilleure stratégie diagnostique et thérapeutique.

Radiothérapie ciblant un ganglion unique et épargnant les tissus sains avoisinants:
 

testis.png